April 19, 2025
Understanding CBCT Dental Scans: Benefits and Applications

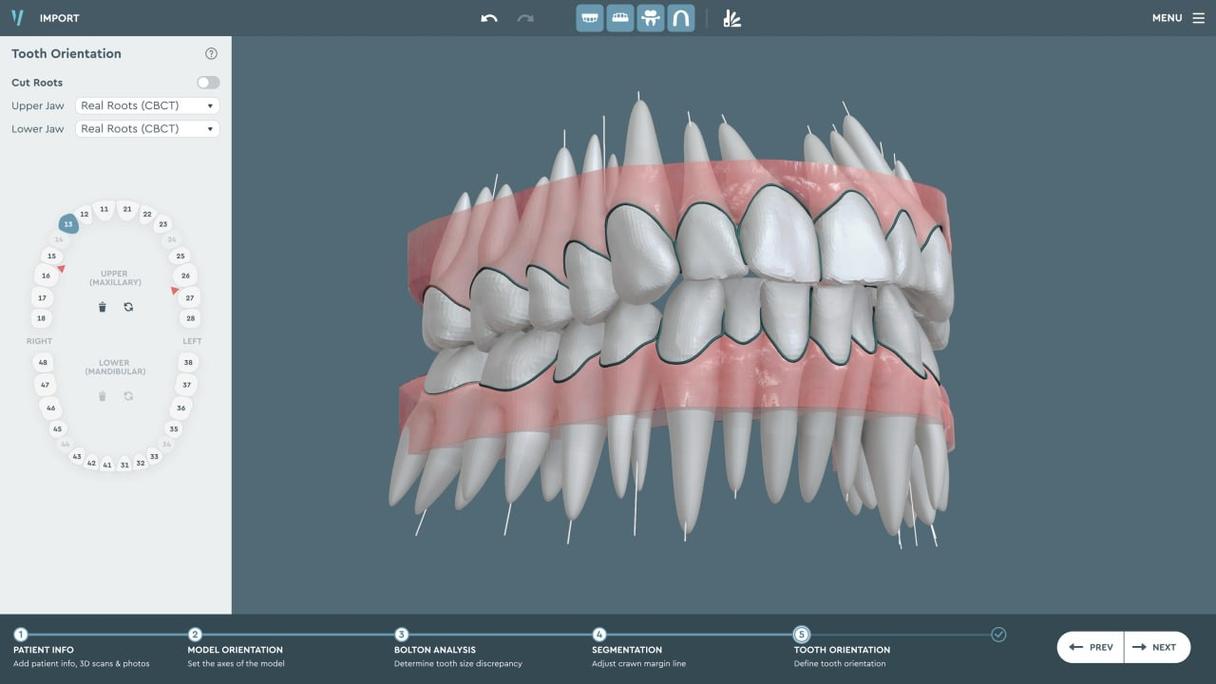
Digital imaging has become a cornerstone of modern orthodontics. Among the most transformative tools is CBCT – a 3D scanning technology that, when combined with advanced planning software like SoftSmile VISION, redefines what’s possible in-patient care.
If you've ever visited an orthodontist or a dental clinic and heard the term "CBCT," you might have wondered what it means and why it's becoming a standard part of many treatment plans. CBCT, or Cone Beam Computed Tomography, is a powerful imaging technology that's revolutionizing dental care – especially in orthodontics.
In this article, we’ll break down what CBCT is, how it works, and why it’s a game-changer for both patients and professionals. Plus, we'll show how CBCT integrates into digital orthodontic treatment planning with the help of software like SoftSmile VISION.
What Is a CBCT Scan?
A CBCT scan is a type of 3D X-ray. Unlike traditional dental X-rays that show only flat, two-dimensional images, CBCT provides a full, 360-degree view of your teeth, jaw, nerves, and surrounding structures. It works by rotating around the patient’s head and capturing hundreds of images, which are then reconstructed into a detailed 3D model.
Why CBCT Matters in Orthodontics
In orthodontics, precision is everything. A small difference in tooth position or jaw alignment can dramatically impact treatment results. That’s where CBCT shines.
Key benefits of CBCT for orthodontic care:
- More accurate diagnoses: Orthodontists can see not just the teeth, but also the roots, nerves, and bone density – helping them spot issues that regular X-rays might miss.
- Better treatment planning: With 3D data, professionals can simulate tooth movement and customize treatment with high precision.
- Shorter treatment times: More informed decisions lead to fewer corrections along the way.
- mproved safety: CBCT uses a lower radiation dose compared to traditional CT scans, making it safe for most patients.
CBCT + Digital Workflow = Better Results
CBCT is especially powerful when combined with modern orthodontic software. At SoftSmile, our treatment planning software, VISION, uses CBCT data to create detailed and highly customized aligner plans.
With VISION, orthodontists can:
- Upload CBCT scans directly into the software
- Align 3D dental models with the patient’s actual anatomy
- Simulate every step of the treatment process
- Visualize final results before starting treatment
This means patients get clear, predictable outcomes, and orthodontists can work faster and more efficiently.
When Do You Need a CBCT Scan?
CBCT isn’t used for every case – but it’s especially helpful in situations like:
- Impacted teeth (like wisdom teeth)
- Complex jaw alignment cases
- Surgical planning
- TMJ disorders
- Re-treatment cases
If your orthodontist recommends a CBCT scan, it’s usually because they want to ensure the best, safest possible care.
What to Expect During the Scan
A CBCT scan is quick and painless. You’ll be asked to sit or stand still while the machine moves around your head. The whole process takes less than a minute, and you’ll walk out with no side effects.
Final Thoughts
CBCT technology has transformed how we see dental health. When used together with smart software like SoftSmile VISION, it enables more precise, personalized, and predictable orthodontic treatment. It’s not just about cool tech – it’s about better care.
Want to learn how our CBCT-powered workflows deliver accuracy and speed, visit SoftSmile VISION, explore our blog at or follow us on YouTube for expert insights.
Sign up for our newsletter!
Case Studies, Podcasts, Ebooks, Events, Webinars, Company news, and more...
By subscribing you agree to the Terms of Use and Privacy Policy.


