February 26, 2026
Digital Dentistry: How Technology is Revolutionizing Dental Care

SoftSmile Team

Practices that once relied on manual workflows are adopting digital systems that connect imaging, planning, and fabrication into a unified process. From patient intake to treatment execution, these systems reduce manual steps and improve clinical consistency. The result is faster turnaround, greater precision, and more predictable outcomes.
Digital dentistry replaces isolated tasks with connected workflows. Scans feed directly into planning software. Treatment simulations are validated before production begins. Fabrication follows verified digital designs, reducing remakes and chairside corrections. What was once fragmented becomes structured and measurable.
Patients expect clarity and efficiency. Digital tools allow clinicians to show projected outcomes, explain treatment paths visually, and move from diagnosis to execution with fewer delays. For dentists, orthodontists, and labs, this is not simply a technology upgrade. It is a shift in how care is planned, delivered, and scaled.
What Is Digital Dentistry
When professionals search for a digital dentistry definition, they are typically referring to the integration of digital tools across diagnosis, planning, and treatment execution.
Digital dentistry refers to the use of digital tools to perform diagnostic, planning, and treatment tasks traditionally done by hand. It replaces physical impressions, manual measurements, and analog processes with software-driven and automated systems.
The roots of digital dentistry go back several decades, starting with early CAD/CAM systems for crown and bridge fabrication. Over time, technologies expanded into imaging, virtual planning, and 3D printing. Today, the field covers everything from digital radiography to AI-assisted diagnosis.
Core areas touched by digital dentistry include:
-
Diagnostics: High-resolution imaging and digital scans for precise evaluation
-
Treatment Planning: Virtual models, aligner simulations, and surgical guides
-
Fabrication: CAD/CAM milling, 3D printing, and rapid prototyping
-
Patient Communication: Interactive simulations and outcome visualizations
Digital dentistry is no longer a niche—it has become a foundation for modern, efficient, and patient-centered care.
The Digital Dentistry Workflow Explained

A modern digital dentistry workflow connects intake, diagnostics, planning, production, and follow-up into one continuous system. Data moves forward without manual recreation, reducing errors and improving predictability.
Patient Intake: Digital forms and intraoral scans replace paper charts and physical impressions. Scans capture precise 3D data quickly and reduce retakes. Clean data at the start prevents downstream corrections.
Diagnostics: Digital X-rays and CBCT provide measurable, high-resolution images. Clinicians can analyze structures in detail, compare views, and document findings immediately. Decisions are based on clear visual data, not estimation.
Treatment Planning: Software platforms simulate procedures before treatment begins. Orthodontic staging, restorative design, and surgical guides are mapped digitally. Movements and fits are tested in advance. Adjustments happen on-screen, not after fabrication. Planning also becomes collaborative. Files are shared instantly with labs or specialists, reducing turnaround time and communication gaps.
Implementation: CAD/CAM milling and 3D printing convert validated digital plans into restorations and appliances. Because production follows a confirmed design, consistency improves and remakes decline.
Follow-Up and Monitoring: Digital records track progression and allow side-by-side comparisons of scans over time. Remote monitoring tools support structured check-ins. Issues are identified earlier and addressed faster.
Practical Example
In a modern orthodontic clinic, an intraoral scan is taken in minutes and imported directly into treatment planning software. Tooth movement is staged digitally. Once approved, the design feeds into aligner production. The patient sees a clear visual plan. The clinic reduces setup time. The lab works from accurate files. The result is fewer delays, better fit, and stronger patient confidence.
Digital workflows standardize care and reduce variability. When implemented correctly, digital dentistry becomes an operating system for the entire practice.
Key Digital Dental Technologies and Tools
Digital dental technology has reshaped everyday clinical work in ways that now feel foundational rather than optional. What once required multiple appointments, physical models, and long lab cycles can now be completed with faster feedback, clearer data, and fewer manual steps.
CAD/CAM Systems
CAD/CAM has become a central part of digital dental technology because it allows clinicians to design and produce restorations in the office with consistent results. Instead of sending impressions to a lab and waiting days for a final product, doctors can create crowns, bridges, inlays, onlays, and other fixed restorations directly from a digital file. This shift reduces delays and gives the clinician more control over the entire process.

Common Uses: CAD/CAM systems are used to produce crowns, bridges, inlays, onlays, and other fixed prosthetics that benefit from same-day fabrication and predictable fit.
How It Replaces the Traditional Method: The traditional approach relied on manual impressions and lab-based casting, which required multiple steps and introduced opportunities for error. CAD/CAM replaces those steps with digital scans and milling, shortening turnaround times and reducing remakes.
Training Required: Clinicians and technicians must learn digital design principles, material behavior, and how milling parameters affect final fit. Mastery comes from understanding how software decisions translate into physical restorations. Once integrated, production becomes faster and more controlled than traditional lab workflows.
Digital Imaging
Digital imaging supports many of the most meaningful digital dentistry advancements by giving clinicians immediate access to clear diagnostic information. With digital X-rays, CBCT scans, and intraoral photographs, teams can review and store images quickly and rely on them during both diagnosis and treatment planning.

Common Uses: Digital imaging is used for radiographs, CBCT scans, and intraoral photography, all of which help clinicians evaluate conditions with greater clarity.
How It Replaces the Traditional Method: Film and physical storage are replaced by instant, shareable digital files.
Training Required: Teams must standardize imaging protocols, learn advanced visualization tools, and interpret digital data consistently. The goal is not just image capture, but diagnostic precision supported by measurable visual evidence.
3D Printing
3D printing has become one of the most practical tools in modern dental workflows because it transforms digital plans into physical appliances with accuracy and speed. Practices print models, aligners, retainers, and surgical guides in-house, often within hours of finalizing a design.

Common Uses: Clinicians use 3D printing to produce orthodontic models, aligners, surgical guides, retainers, and a variety of chairside or lab appliances.
How It Replaces the Traditional Method: Stone models and hand-crafted appliances are replaced by printed parts produced from a digital file, which leads to consistent quality and shorter production times.
Training Required: Staff must understand printer calibration, material handling, and post-processing protocols. Precision depends on disciplined setup and quality control. When procedures are standardized, production becomes predictable and scalable.
Intraoral Scanning
Intraoral scanning has become the starting point for many digital workflows because it captures accurate 3D data without the frustration of traditional impression materials. It supports restorative, orthodontic, and surgical planning by providing a dependable digital record.

Common Uses: Clinicians use intraoral scanners to capture 3D scans for restorative work, orthodontic planning, and treatment monitoring.
How It Replaces the Traditional Method: Trays and impression materials are no longer needed. Scanners reduce errors, limit the need for retakes, and cut down on remakes caused by distorted impressions.
Training Required: Clinicians must develop consistent scanning workflows, manage soft tissue effectively, and ensure clean data capture. Accuracy at this stage determines the reliability of every downstream step.
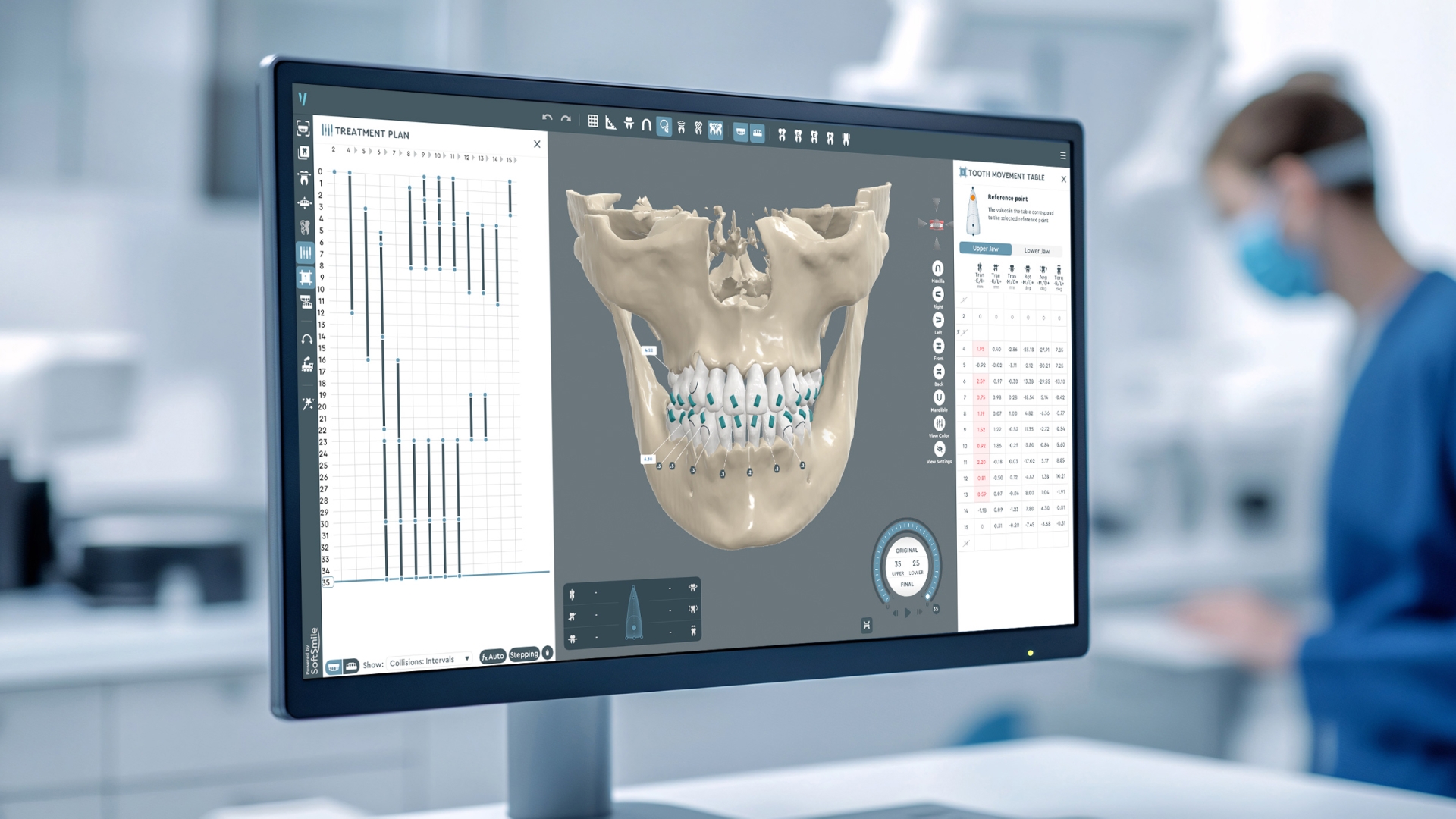
Virtual Treatment Planning
Virtual treatment planning platforms give clinicians a detailed view of tooth movement and case progression before treatment begins. Systems such as SoftSmile Vision provide the ability to simulate results, adjust staging, and refine treatment goals with clarity.

Common Uses: Virtual planning is used for aligner staging, case simulation, and creating outcomes that help guide both clinical decisions and patient expectations.
How It Replaces the Traditional Method: Manual setups and paper tracings are replaced with digital models that respond to real-time adjustments, giving clinicians more confidence in the planned movements. Because movements are visualized in advance, predictability improves and remakes decline.
Training Required: Clinicians must understand digital tooth movement, staging logic, and force systems within a software environment. The learning curve exists, but once mastered, planning becomes faster and more consistent than manual methods.
Platforms such as SoftSmile bring this capability into a focused orthodontic environment, combining detailed control with efficient workflows. For practices managing growing aligner volume, virtual treatment planning is not an enhancement — it is the control center of the entire operation.
Teledentistry
Teledentistry has expanded access to care by allowing clinicians to monitor and support patients remotely. Many follow-up visits and early evaluations can now occur without requiring the patient to travel to the office.

Common Uses: Remote check-ins, triage conversations, post-operative follow-ups, and patient education are the most common uses in daily practice.
How It Replaces the Traditional Method: Traditional in-person visits that once required scheduling and travel can now be handled through secure remote communication tools.
Training Required: Teams must develop structured remote assessment protocols, clear communication standards, and compliant documentation practices. Virtual care requires the same clinical discipline as in-office treatment.
Digital Records and Practice Management
Digital record systems now serve as the central hub for clinical, financial, and operational information. They support a cohesive workflow where every part of the patient journey is documented and accessible.

Common Uses: These systems manage charting, imaging storage, scheduling, billing, and internal communication.
How It Replaces the Traditional Method: Paper charts and physical filing systems are replaced by centralized digital records that are easier to search, update, and integrate with other tools.
Training Required: Practices must implement consistent data-entry standards, define clear internal workflows, and ensure full team adoption. Digital systems deliver value only when used uniformly across the organization.
Digital Smile Design
Digital Smile Design improves communication and planning for aesthetic cases by showing patients potential outcomes before treatment begins. This visual approach helps align expectations and guide clinical decisions.

Common Uses: Clinicians use Digital Smile Design for aesthetic planning, outcome previews, and communication during cosmetic consultations.
How It Replaces the Traditional Method: Hand-drawn sketches and subjective explanations are replaced with measured digital previews that create clearer understanding.
Training Required: Clinicians must follow standardized photography protocols, understand facial analysis principles, and balance aesthetics with functional considerations. Visual planning requires both technical and artistic discipline.
Regenerative Dentistry
Digital tools support regenerative procedures by improving the accuracy of planning and placement during treatment. When paired with imaging and guided techniques, clinicians gain more consistency in complex procedures.

Common Uses: These tools assist in guided placement for bone and soft tissue procedures.
How It Replaces the Traditional Method: Freehand approaches are replaced by guided workflows that improve stability and predictability during treatment.
Training Required: Practitioners must integrate imaging data with guided protocols and execute procedures with strict adherence to digital planning. Accuracy in preparation determines surgical predictability.
AI and Digital Diagnosis
AI-based diagnostic tools assist clinicians by analyzing images and drawing attention to areas that warrant further review. These systems support early detection and help clinicians approach cases with additional insight.

Common Uses: AI tools help with identifying caries, detecting anomalies, and developing early case forecasts.
How It Replaces the Traditional Method: Traditional diagnosis relied entirely on the clinician’s visual assessment. AI adds a structured layer of review and flags areas that may require closer inspection.
Training Required: Clinicians must interpret AI-generated alerts critically, distinguish between signal and noise, and integrate findings into structured diagnostic review. AI supports judgment — it does not replace it.
Benefits of Digital Dentistry
Digital dentistry delivers measurable operational and clinical gains. It strengthens clinical control, patient trust, and operational consistency.
Greater Accuracy
Digital scans and AI-supported analysis reduce variability in diagnosis and appliance design. When data replaces estimation, fit improves and remakes decline.
Faster Turnaround
Restorations and appliances can be designed, validated, and produced in significantly less time. Shorter production cycles mean fewer appointments and quicker case completion.
Stronger Patient Experience
Visual simulations help patients understand their treatment plan. When outcomes are shown clearly, case acceptance increases and conversations become more productive.
Clear, Accessible Data
Patient history, imaging, and treatment progression are available instantly. Teams spend less time searching for information and more time making decisions.
More Predictable Outcomes
Virtual planning allows clinicians to test movements and refine details before fabrication. Adjustments happen digitally, not reactively in the chair.
Improved Collaboration
Digital files move easily between practices, labs, and specialists. Communication becomes structured and less dependent on physical materials.
Operational Efficiency
Automated workflows reduce manual steps and repetitive tasks. Staff time is redirected toward higher-value clinical work.
Challenges and Considerations When Adopting Digital Dentistry
Adopting digital dentistry requires more than new equipment. It requires capital, planning, and full team alignment. Scanners, imaging systems, and software platforms are significant investments, so practices must evaluate expected efficiency gains and revenue impact before committing.
There is also a learning curve. Digital systems demand standardized workflows and consistent execution. New tools must integrate smoothly with existing imaging and practice management systems—otherwise efficiency drops instead of improving.
Digital transformation also increases responsibility for data security. Patient information must be protected and compliant with regulations such as HIPAA. A phased rollout—one technology at a time—reduces risk and builds a stable, scalable workflow.
Future of Digital Dentistry
Digital dentistry is shifting from individual tools to connected systems that link diagnosis, planning, and production into one continuous process. Advances in AI, cloud collaboration, and material science are increasing precision while reducing manual intervention. The future is not just faster workflows, but more predictable, data-backed care delivered through fully integrated digital environments.
AI and Robotics
Automated surgical guidance and predictive analytics will support more precise interventions and earlier detection of issues.
Remote Diagnostics
Patients will be monitored through structured digital check-ins and connected devices, reducing unnecessary visits while maintaining oversight.
Bioprinting
Custom tissue structures and regenerative materials will move from research environments into controlled clinical use.
Fully Virtual Workflows
From diagnosis to appliance fabrication, entire treatment paths will exist within a single digital environment.
Interconnected Systems
Imaging devices, planning software, and production tools will communicate directly. Data will flow automatically, reducing friction between clinical steps.
Why SoftSmile Is at the Forefront of Digital Dental Innovation
SoftSmile offers a comprehensive platform for digital dental workflows and drives digital dental innovation with tools built specifically for orthodontic case planning and aligner production workflows:
-
Faster workflows: Reduce setup time and boost patient throughput.
-
Precision and control: Clinicians and labs manage cases with confidence.
-
Customer-informed design: Feedback shapes features that truly matter.

Clinics using SoftSmile Vision report shorter case times, improved accuracy, and higher patient satisfaction. One orthodontic lab increased throughput by 30% after switching to SoftSmile for aligner treatment planning. The platform reduces setup time, improves staging control, and integrates directly with manufacturing workflows.

SoftSmile Team
Sign up for our newsletter!
Case Studies, Podcasts, Ebooks, Events, Webinars, Company news, and more...
By subscribing you agree to the Terms of Use and Privacy Policy.


